Does Urine Retention Cause Stomach Pain . — urinary retention is when you are unable to empty your bladder completely. — urinary retention is the inability to empty the bladder completely. — urinary retention is difficulty completely emptying the bladder. learn about the causes, diagnosis, and treatment of urinary retention, the inability to voluntarily pass urine. It can be acute or chronic and affect both males and. It can be acute or chronic and may be. It can be acute or chronic and affect people with a penis or a vagina. See a healthcare provider right away if this. — urinary retention is when your bladder doesn’t empty completely. It can be chronic or acute and may result from various conditions, such. urinary retention can be acute—a sudden inability to urinate, or chronic—a gradual inability to completely empty the bladder. Find out how to measure postvoid. in severe cases, it can cause digestive discomfort and lower abdominal pain.
from www.healthykidneyclub.com
It can be acute or chronic and affect people with a penis or a vagina. Find out how to measure postvoid. learn about the causes, diagnosis, and treatment of urinary retention, the inability to voluntarily pass urine. — urinary retention is the inability to empty the bladder completely. — urinary retention is when your bladder doesn’t empty completely. — urinary retention is difficulty completely emptying the bladder. It can be acute or chronic and affect both males and. It can be chronic or acute and may result from various conditions, such. See a healthcare provider right away if this. urinary retention can be acute—a sudden inability to urinate, or chronic—a gradual inability to completely empty the bladder.
Can Kidney Stones Cause Abdominal Pain
Does Urine Retention Cause Stomach Pain learn about the causes, diagnosis, and treatment of urinary retention, the inability to voluntarily pass urine. in severe cases, it can cause digestive discomfort and lower abdominal pain. Find out how to measure postvoid. — urinary retention is when your bladder doesn’t empty completely. It can be acute or chronic and affect both males and. It can be chronic or acute and may result from various conditions, such. It can be acute or chronic and may be. — urinary retention is the inability to empty the bladder completely. — urinary retention is when you are unable to empty your bladder completely. learn about the causes, diagnosis, and treatment of urinary retention, the inability to voluntarily pass urine. urinary retention can be acute—a sudden inability to urinate, or chronic—a gradual inability to completely empty the bladder. — urinary retention is difficulty completely emptying the bladder. See a healthcare provider right away if this. It can be acute or chronic and affect people with a penis or a vagina.
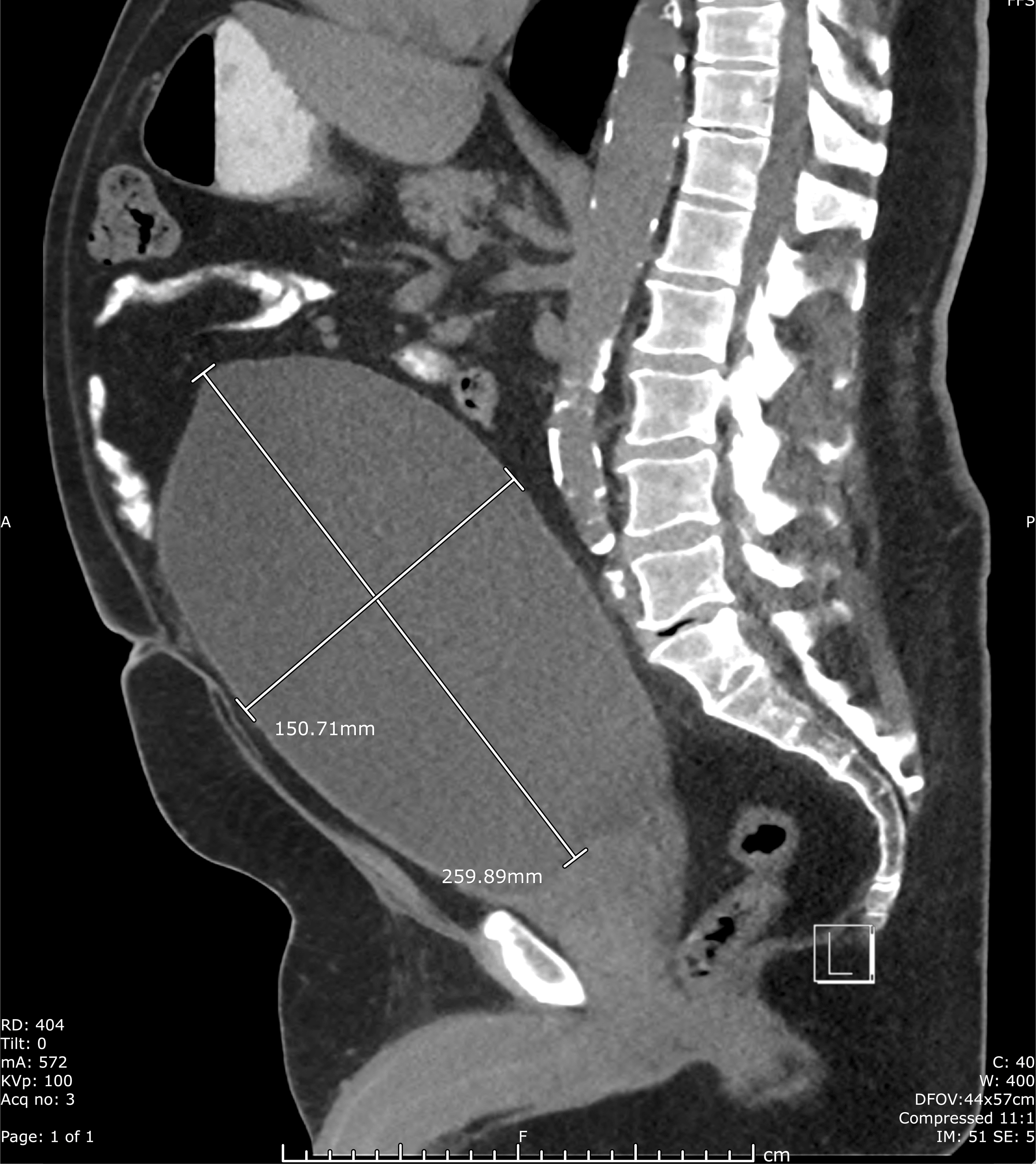
From doctorlib.info
ACUTE URINARY RETENTION RENAL AND GENITOURINARY DISORDERS Does Urine Retention Cause Stomach Pain learn about the causes, diagnosis, and treatment of urinary retention, the inability to voluntarily pass urine. — urinary retention is difficulty completely emptying the bladder. It can be acute or chronic and affect people with a penis or a vagina. It can be acute or chronic and may be. urinary retention can be acute—a sudden inability to. Does Urine Retention Cause Stomach Pain.
From primocare.com
How does prolonged holding urine affect the body? Does Urine Retention Cause Stomach Pain in severe cases, it can cause digestive discomfort and lower abdominal pain. It can be chronic or acute and may result from various conditions, such. urinary retention can be acute—a sudden inability to urinate, or chronic—a gradual inability to completely empty the bladder. Find out how to measure postvoid. It can be acute or chronic and may be.. Does Urine Retention Cause Stomach Pain.
From www.cureus.com
Cureus Severe Urinary Retention Resulting in Extreme Postobstructive Does Urine Retention Cause Stomach Pain — urinary retention is difficulty completely emptying the bladder. It can be acute or chronic and may be. It can be acute or chronic and affect both males and. in severe cases, it can cause digestive discomfort and lower abdominal pain. urinary retention can be acute—a sudden inability to urinate, or chronic—a gradual inability to completely empty. Does Urine Retention Cause Stomach Pain.
From www.pinterest.co.uk
Urinary retention is a condition in which the bladder is unable to Does Urine Retention Cause Stomach Pain — urinary retention is the inability to empty the bladder completely. — urinary retention is when you are unable to empty your bladder completely. It can be acute or chronic and affect both males and. Find out how to measure postvoid. in severe cases, it can cause digestive discomfort and lower abdominal pain. learn about the. Does Urine Retention Cause Stomach Pain.
From westjem.com
An Unusual Cause of Acute Urinary Retention The Western Journal of Does Urine Retention Cause Stomach Pain — urinary retention is the inability to empty the bladder completely. — urinary retention is difficulty completely emptying the bladder. See a healthcare provider right away if this. — urinary retention is when your bladder doesn’t empty completely. It can be acute or chronic and affect both males and. It can be acute or chronic and may. Does Urine Retention Cause Stomach Pain.
From westjem.com
An Unusual Cause of Acute Urinary Retention The Western Journal of Does Urine Retention Cause Stomach Pain Find out how to measure postvoid. It can be acute or chronic and may be. in severe cases, it can cause digestive discomfort and lower abdominal pain. It can be acute or chronic and affect people with a penis or a vagina. — urinary retention is when your bladder doesn’t empty completely. urinary retention can be acute—a. Does Urine Retention Cause Stomach Pain.
From www.auanet.org
American Urological Association NonNeurogenic Chronic Urinary Does Urine Retention Cause Stomach Pain learn about the causes, diagnosis, and treatment of urinary retention, the inability to voluntarily pass urine. It can be acute or chronic and affect people with a penis or a vagina. — urinary retention is the inability to empty the bladder completely. It can be chronic or acute and may result from various conditions, such. Find out how. Does Urine Retention Cause Stomach Pain.
From mavink.com
Abdominal Pain Female Diagram Does Urine Retention Cause Stomach Pain — urinary retention is when your bladder doesn’t empty completely. It can be acute or chronic and affect both males and. — urinary retention is difficulty completely emptying the bladder. in severe cases, it can cause digestive discomfort and lower abdominal pain. Find out how to measure postvoid. learn about the causes, diagnosis, and treatment of. Does Urine Retention Cause Stomach Pain.
From westjem.com
An Unusual Cause of Acute Urinary Retention The Western Journal of Does Urine Retention Cause Stomach Pain — urinary retention is difficulty completely emptying the bladder. It can be acute or chronic and affect both males and. — urinary retention is when you are unable to empty your bladder completely. learn about the causes, diagnosis, and treatment of urinary retention, the inability to voluntarily pass urine. in severe cases, it can cause digestive. Does Urine Retention Cause Stomach Pain.
From urologyaustin.com
Urinary Retention Unable to urinate Urologist Urology Austin Does Urine Retention Cause Stomach Pain — urinary retention is when your bladder doesn’t empty completely. in severe cases, it can cause digestive discomfort and lower abdominal pain. urinary retention can be acute—a sudden inability to urinate, or chronic—a gradual inability to completely empty the bladder. It can be acute or chronic and may be. Find out how to measure postvoid. See a. Does Urine Retention Cause Stomach Pain.
From www.cureus.com
Cureus Urinary Retention in a Patient With an Artificial Urinary Does Urine Retention Cause Stomach Pain urinary retention can be acute—a sudden inability to urinate, or chronic—a gradual inability to completely empty the bladder. See a healthcare provider right away if this. in severe cases, it can cause digestive discomfort and lower abdominal pain. It can be acute or chronic and may be. Find out how to measure postvoid. It can be acute or. Does Urine Retention Cause Stomach Pain.
From www.verywellhealth.com
UTI in Men Symptoms, Causes, Diagnosis, and Treatment Does Urine Retention Cause Stomach Pain See a healthcare provider right away if this. It can be acute or chronic and may be. in severe cases, it can cause digestive discomfort and lower abdominal pain. — urinary retention is the inability to empty the bladder completely. urinary retention can be acute—a sudden inability to urinate, or chronic—a gradual inability to completely empty the. Does Urine Retention Cause Stomach Pain.
From www.cureus.com
Cureus Severe Urinary Retention Resulting in Extreme Postobstructive Does Urine Retention Cause Stomach Pain — urinary retention is the inability to empty the bladder completely. Find out how to measure postvoid. learn about the causes, diagnosis, and treatment of urinary retention, the inability to voluntarily pass urine. — urinary retention is when you are unable to empty your bladder completely. — urinary retention is when your bladder doesn’t empty completely.. Does Urine Retention Cause Stomach Pain.
From www.pinterest.com
stages of urinary tract infections. Its best to have herbs on hand when Does Urine Retention Cause Stomach Pain in severe cases, it can cause digestive discomfort and lower abdominal pain. It can be acute or chronic and may be. — urinary retention is difficulty completely emptying the bladder. It can be acute or chronic and affect both males and. urinary retention can be acute—a sudden inability to urinate, or chronic—a gradual inability to completely empty. Does Urine Retention Cause Stomach Pain.
From pseudomonas-aeruginosa-treatment.blogspot.com
Urinary Tract Infection (UTI) Causes, Symptoms & Treatment Cleveland Does Urine Retention Cause Stomach Pain urinary retention can be acute—a sudden inability to urinate, or chronic—a gradual inability to completely empty the bladder. Find out how to measure postvoid. learn about the causes, diagnosis, and treatment of urinary retention, the inability to voluntarily pass urine. It can be acute or chronic and affect both males and. — urinary retention is the inability. Does Urine Retention Cause Stomach Pain.
From www.aafp.org
Urinary Retention in Adults Evaluation and Initial Management AAFP Does Urine Retention Cause Stomach Pain — urinary retention is when you are unable to empty your bladder completely. — urinary retention is difficulty completely emptying the bladder. learn about the causes, diagnosis, and treatment of urinary retention, the inability to voluntarily pass urine. urinary retention can be acute—a sudden inability to urinate, or chronic—a gradual inability to completely empty the bladder.. Does Urine Retention Cause Stomach Pain.
From www.youtube.com
Acute Urinary Retention! YouTube Does Urine Retention Cause Stomach Pain It can be chronic or acute and may result from various conditions, such. — urinary retention is when your bladder doesn’t empty completely. Find out how to measure postvoid. It can be acute or chronic and may be. — urinary retention is when you are unable to empty your bladder completely. It can be acute or chronic and. Does Urine Retention Cause Stomach Pain.
From exoqtcytp.blob.core.windows.net
Tampon Hurts Lower Abdomen at Paul Plum blog Does Urine Retention Cause Stomach Pain It can be acute or chronic and affect people with a penis or a vagina. — urinary retention is difficulty completely emptying the bladder. urinary retention can be acute—a sudden inability to urinate, or chronic—a gradual inability to completely empty the bladder. It can be acute or chronic and affect both males and. It can be chronic or. Does Urine Retention Cause Stomach Pain.